DENTURES AND PARTIAL DENTURES IN BEDFORD, NH

Partial Dentures
Complete Dentures
All-on-4 Dentures
All-on-4 dentures are secured to four strategically-placed dental implants. We start this procedure with stent-guided dental implants. This implant technique enables us to precisely place implants in the bone of the jaw so that they reside in the strongest and most dense bone for the best success. Once these implants have been placed, we then design the dentures that will be anchored on these implants. By securing the upper and lower dentures on implants, a patient can experience greater comfort and fewer restrictions on the foods they can eat. Finally, they can stop worrying about whether or not their dentures will shift or move while they are eating or talking. This is a whole new generation of dentures and our patients love the freedom they provide.
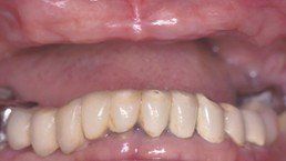
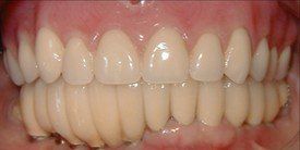
We Take Pride in the Dentures We Make for Our Patients
WHAT PATIENTS ARE SAYING
Dental Arts of Bedford: Dentures to Restore Your Smile
Dental Arts of Bedford is a team of dedicated professionals led by Dr. Sameer Dogra and Dr. Sonia Nagi. They are committed to helping you restore your smile and self-confidence through high-quality dental treatment. Our practice is located in Bedford, New Hampshire, where we offer comprehensive denture solutions that are tailored to your needs and preferences.
Dentures: Benefits and Uses
Dentures are an effective way to restore function and aesthetics. Dental Arts of Bedford understands the importance of a beautiful, healthy smile. Our denture services provide the following benefits:
- Improved Chewing Ability: Missing or damaged teeth can lead to digestive problems and nutritional deficiencies. Dentures allow you to eat a wide variety of food, maintaining your health through a healthy diet.
- Improved Speech: Tooth loss may affect your ability to pronounce certain words, resulting in speech impairments and decreased confidence when socializing. Dentures can fill in the gaps caused by missing teeth and help you to speak confidently.
- Restored Facial Structure: Losing teeth can cause the muscles of the face to sag and give the appearance that you are aging prematurely. Dentures support your facial muscles and restore the contours of your natural face.
- Increased Confidence: A beautiful, complete smile can boost your confidence and self-esteem in both professional and personal settings. Dentures let you smile, laugh, and engage with others without being self-conscious.
- Customized Solutions: At Dental Arts of Bedford we offer denture options that are tailored to your lifestyle and needs. Our experienced team will create a customized treatment plan for you, whether you need full dentures that replace an entire arch or partial dentures that fill in gaps.
- Long-Lasting Results: With the proper care and maintenance, dentures can remain sturdy, comfortable and functional, allowing you to enjoy a healthy, beautiful smile for many years.

Why Choose Us?
It is important to choose the right dentist when it comes time to restore your smile. Dental Arts of Bedford offers top-of-the-line denture services. Here are some of the points we focus on:
Experienced Dentists:
Dr. Sameer Dogra and Dr. Sonia Nagi have a passion for providing patients with exceptional care. They are always up-to-date on the latest advances in dentistry so that you get the best treatment.
Comprehensive Dental Care:
We offer a wide range of dental services including cosmetic, restorative, and preventive dentistry. We can meet your dental needs, whether you require dentures, dental implants, or regular cleanings.
Personalized Approach:
We recognize that each patient is different, so we listen to their concerns, goals, and preferences, before recommending treatment. Using a personalized approach, we ensure that you get customized denture solutions that are tailored to your needs and wants.
State-of-the-Art Facility:
Dental Arts of Bedford has modern amenities and advanced technology to ensure that you receive comfortable and efficient dental treatment. We use cutting-edge technology, such as digital X-rays and intraoral cameras, to improve the accuracy of our treatments.
Patient-Centered Philosophy:
Your comfort and happiness are our highest priorities. From the moment you enter our office, you’ll feel welcomed with compassion and warmth. Our team will be happy to answer any questions you may have and ensure that your dentist experience is as stress-free and positive as possible.
Dentures from Dental Arts of Bedford can restore your smile and help you regain your confidence. Call us to schedule your consultation today and start on the path to a happier, healthier smile!
SMILE GALLERY
SCHEDULE AN APPOINTMENT





